Te veel of te weinig eiwit heeft consequenties voor het kalf
Het juiste eiwitniveau in kalvermelk is belangrijk: te weinig eiwit zorgt voor lagere groei en te veel eiwit verhoogt de kans op verteringsstoornissen. Daarnaast is eiwit een dure component, dus ook met het oog op de portemonnee is het belangrijk om het juiste eiwitniveau te voeren. Op het onderzoeksbedrijf van Trouw Nutrition zijn diverse studies gedaan naar eiwitniveaus, waarbij de uitkomst zeer helder was: bij eenzelfde hoeveelheid gevoerde kalvermelk leiden niveaus boven 22,5 % eiwit niet tot meer groei (tabel 1).

Tabel 1. Groeiparameters van 2 behandelingen met verschillende ruwe eiwitniveaus. Vetgedrukt is significant verschillend
De belangrijkste voedingstoffen van koemelk zijn vet, eiwit en lactose of melksuiker. Daarnaast bevat melk ook voedingsstoffen in kleinere hoeveelheden, zoals vitamines, mineralen en calcium (afbeelding 1).

Afbeelding 1. Samenstelling van melk en verdere verdeling in voedingsstoffen
Onverteerd vet verhoogt de kans op diarree
Vet is, naast suikers, een belangrijke energiebron voor de groei van het kalf, maar er geldt wel een optimum. Daarbij telt niet alleen de hoeveelheid vet, maar ook de deeltjesgrootte.
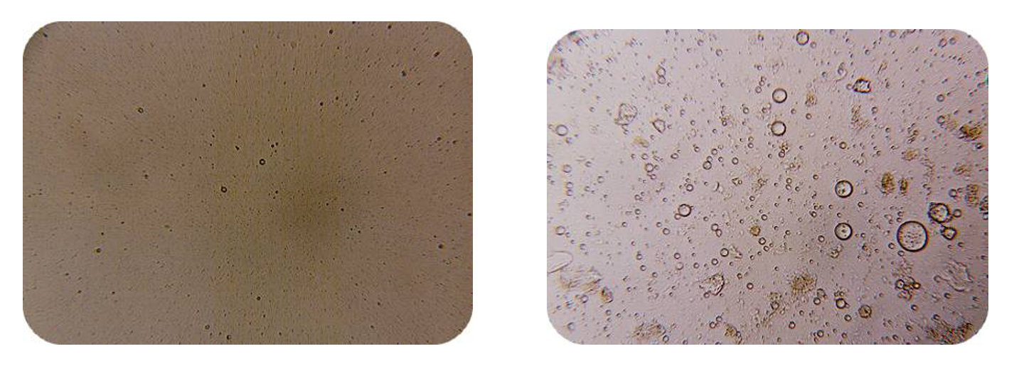
Het vet in koemelk bestaat uit kleine vetbolletjes van 1 tot 10 μ. 1 μ = 0,000001 m. Deze grootte draagt eraan bij dat de vertering goed verloopt. Een goed verteerbare kalvermelk moet dus uit homogene, kleinere vetdeeltjes bestaan. Onverteerd vet in de darm verhoogt namelijk de kans op diarree.
Het productieproces bij Trouw Nutrition garandeert een homogeen mengsel van zeer kleine vetbolletjes (afbeelding 2). Daarmee wordt de basis gelegd voor een goede vertering van kalvermelk, blijft de melk stabiel in oplossing en de apparatuur (emmers en mixers) schoner.

Afbeelding 2. Weergave van gehomogeniseerd vet, met >95% deeltjes < 2 um (links) en gemengd vet (rechts)
De keerzijde van een te hoog lactoseniveau
Kalvermelken bevatten typisch tussen de 40 en 45% aan lactose per kilogram droge stof (kg DS). In koemelk zijn deze niveaus veelal lager; typisch 35% per kg DS. Recent onderzoek van Trouw Nutrition laat zien dat lactose meer aandacht verdient. Hogere lactoseniveaus leiden tot extra druk op de darm met een verhoogde kans op suboptimale vertering als gevolg. Dit komt door het effect van lactose op de osmolaliteit. Hieronder wordt de hoeveelheid opgeloste deeltjes van suikers en mineralen in een concentratie weergegeven. Een hoog lactoseniveau (en dus een hoge osmolaliteit) zorgt ervoor dat water wordt getrokken naar het deel met meer opgeloste deeltjes, afkomstig uit het deel met weinig opgeloste deeltjes (figuur 1).
De juiste osmolaliteit voor betere darmen

Figuur 1. Schematische weergave van waterstroom van een gebied met een lage hoeveelheid opgeloste deeltjes aan suiker en mineralen naar een gebied met een hoge concentratie opgeloste deeltjes suiker en mineralen.
Bij een kalvermelk met een hoge osmolaliteit wordt water naar de darmen van het kalf ‘getrokken’ uit de rest van het lichaam. Dit leidt tot een ongezondere darmwand en vertraagt het herstelproces bij diarree. De juiste osmolaliteit is dus essentieel. De hoeveelheid suikers, mineralen en de concentratie van kalvermelk per liter water zijn daarbij bepalend.

Het ideale niveau aan osmolaliteit ligt ruim onder de 400 mOsm/kg. Daar is in de nieuwste samenstelling en het voerschema van kalvermelk Sprayfo Delta dan ook rekening mee gehouden. Naast een aanpassing in de hoeveelheid suiker is ook de hoeveelheid mineralen aangepast naar het gewenste niveau.